Dilayani dokter berpengalaman, dengan teknologi terbaru serta hasil memuaskan.

Temukan klinik gigi terdekat terpercaya bersama Etama Dental Clinic. Perawatan gigi dengan dokter berpengalaman, teknologi modern, dan pelayanan ekstra.
Kami menyediakan teknologi modern dan dokter ahli untuk layanan estetika dan perawatan gigi lebih profesional. Jadwalkan kunjungan Anda hari ini!
Tindakan Pemakaian alat ortodonti untuk tujuan merapikan susunan gigi dan fungsi pengunyahan gigi
Proses Pemutihan gigi yang dilakukan untuk mencerahkan gigi yang menguning.
Tindakan pembuangan karang gigi berupa kalkulus , stein plak yang menempel pada gigi dan gusi
Tindakan membuang jaringan gigi yang busuk dan melakukan penambalan dengan bahan gigi
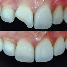
Tindakan memperbaiki kondisi estetik gigi depan baik secara langsung ( Direct Veneer) menggunakan bahan tambalan dan secara tidak langsung (indirect veneer) dengan memakai bahan emax, zirconia dan porcelin yang pengerjaan nya memerluka laboriatorium dental
Tindakan mengeluarkan gigi dari socket tulang rahang. Prosedur ini dilakukan oleh dokter gigi, ahli bedah mulut dan dapat dilakukan dengan anestesi lokal, umum dan sedasi. Cabut gigi merupakan pilihan terakhir ketika perawatan tidak dapat menyelamatkan gigi yang rusak atau terinfeksi.
Tindakan yang dilakukan untuk mengatasi masalah gigi yang terinfeksi atau rusak parah.
Tindakan yang bertujuan untuk menggantikan gigi yang hilang dan jaringan gusi di sekelilingnya. Gigi palsu terbagi dua yaitu:
1.gigi palsu permanen dipasang secara medis dan tidak dapat dilepas sendiri oleh pengguna
2.gigi palsu lepasan dapat dilepas dan dipasang sendiri oleh pengguna

Solusi ortondontik modern yang memberikan penyesuaian lembut dan bertahap untuk merapikan gigi dan estetika. Aligner ini dipersonalisasikan sesuai bentuk gigi pasien dan transparan, sehingga tidak menganggu penampilan.
Kami menggunakan peralatan medis yang modern dan menyediakan pilihan lengkap segala jenis perawatan gigi.
Dokternya informatif, ramah, dan profesional. Perawatan jadi lebih aman dan nyaman.
Nggak perlu khawatir sama harga, karena biaya treatment-nya hemat banget! Pas sama budget!
Tambah happy karena banyak promo menarik! Mulai dari bersihin karang gigi sampai pasang behel.
Posted on Kartika SandimTrustindex verifies that the original source of the review is Google. Baca ulasannya bagus-bagus. Langsung kesana memang benar terbukti mulai dari resepsionis, asisten dan dokter smua ramah.kemaren pas kesana sama dokter pengganti sih ramah jga nggak pelit informasi. Mungkin disemua cabang Dentak Care pelayanannya baik. Harga juga terjangkau y Tempatnya menarik, bersih.kalau mau ngopi atau ngeteh tersedia tinggal seduh ajaPosted on MJ - E juan loumy samuel saragiTrustindex verifies that the original source of the review is Google. Pelayanan nya cepat, ramahPosted on Berman SiahaanTrustindex verifies that the original source of the review is Google. BagussPosted on yeni rosmaTrustindex verifies that the original source of the review is Google. Harga ramah dikantong, untuk semua kalangan 😁😁Posted on mery pebriantiTrustindex verifies that the original source of the review is Google. pelayanan nya sangat memuaskan, dokter nya sangat baik dan ramah, bakal jadi langganan di klinik etama 🤍🤍Posted on Maryam SyifaTrustindex verifies that the original source of the review is Google. Pelayanannya ramah, dokternya baik dan sangat informatif.


Klinik gigi terdekat menyediakan berbagai layanan lengkap untuk menjaga kesehatan mulut dan gigi Anda secara optimal.
Dengan perawatan yang dilakukan oleh dokter gigi terdekat yang berpengalaman dan profesional, Anda dapat menikmati berbagai pilihan layanan yang dirancang untuk memenuhi kebutuhan kesehatan gigi Anda.
Layanan yang tersedia meliputi:
– Pemeriksaan dan Konsultasi Gigi: Identifikasi kondisi gigi dan mulut serta rekomendasi perawatan terbaik.
– Pembersihan Gigi (Scaling): Menghilangkan plak dan karang gigi untuk mencegah gigi berlubang dan penyakit gusi.
– Tambal Gigi: Perbaikan gigi berlubang dengan bahan berkualitas.
– Perawatan Saluran Akar: Menyelamatkan gigi dari infeksi atau pembusukan.
– Cabut Gigi: Mengangkat gigi yang tidak dapat diselamatkan.
– Pemutihan Gigi (Bleaching): Membuat gigi tampak lebih putih.
– Pemasangan Behel (Orthodontics): Koreksi susunan gigi dengan behel.
– Veneer Gigi: Memperbaiki tampilan estetika gigi.
– Perawatan Gigi Anak: Layanan khusus untuk menjaga kesehatan gigi anak dengan cara yang ramah dan aman.
Dengan layanan ini, klinik gigi terdekat siap memberikan perawatan yang sesuai kebutuhan Anda, baik untuk pencegahan, perawatan, maupun estetika.”
Lokasi klinik Etama Dental Clinic saat ini ada di
Memilih Klinik Gigi Terdekat yang Terpercaya dan Berkualitas Untuk memilih klinik gigi terdekat yang terpercaya dan berkualitas, Anda perlu mempertimbangkan beberapa faktor penting. Berikut adalah panduan singkat:
1. Lokasi dan Kemudahan Akses: Pilih klinik gigi yang mudah dijangkau dari tempat tinggal atau kantor Anda. Ini memudahkan kontrol rutin dan perawatan lanjutan.
2. Keahlian dan Kredibilitas Dokter Gigi: Pastikan dokter gigi terdekat Anda memiliki sertifikat dan pengalaman yang memadai untuk menghasilkan perawatan berkualitas.
3. Fasilitas dan Peralatan Modern: Klinik yang didukung dengan teknologi terbaru akan memberikan diagnosis dan perawatan yang optimal.
4. Reputasi dan Testimoni Pasien: Tinjau reputasi melalui ulasan pasien untuk memastikan klinik memiliki layanan yang memuaskan.
5. Pelayanan dan Kenyamanan: Pilih klinik gigi dengan pelayanan ramah dan lingkungan yang nyaman.
6. Harga dan Transparansi Biaya: Pastikan informasi harga perawatan jelas dan transparan. Dengan mempertimbangkan faktor-faktor ini, Anda dapat menemukan dental clinic terdekat yang terpercaya dan berkualitas.
Waktu Terbaik untuk Pemeriksaan Rutin Klinik Gigi Terdekat Waktu terbaik untuk melakukan pemeriksaan rutin ke dokter gigi terdekat atau klinik gigi terdekat adalah setiap 6 bulan sekali.
Frekuensi ini direkomendasikan untuk mendeteksi dini masalah seperti karies, penyakit gusi, atau kelainan mulut lainnya sebelum berkembang lebih serius.
Namun, bagi pasien dengan risiko tinggi seperti pengguna kawat gigi, penderita diabetes, atau perokok, pemeriksaan sebaiknya dilakukan lebih sering, yaitu setiap 3-4 bulan.
Anak-anak dianjurkan mulai pemeriksaan rutin sejak gigi pertama tumbuh dengan interval 6 bulan untuk memantau perkembangan gigi susu dan permanen. Jika tidak ada keluhan khusus, tetap patuhi jadwal 6 bulan sekali untuk pembersihan karang gigi dan pemeriksaan menyeluruh di klinik gigi terdekat yang terpercaya.
Namun, segera kunjungi dokter gigi terdekat apabila terdapat gejala seperti nyeri gigi mendadak, gusi berdarah, pembengkakan, atau luka yang tidak kunjung sembuh, meskipun di luar jadwal pemeriksaan rutin. Hal ini penting untuk menjaga kesehatan mulut secara optimal dan mencegah masalah yang lebih berat.